
文| 陈亚明

【作者简介】陈亚明:教授、主任医师、博士生导师、曾任南京医科大学口腔医学院修复系主任;教育部认定的国家精品在线开放课程“口腔修复学”课程负责人,江苏省本科、专升本精品课程“口腔修复学”主持人,全国统编研究生教材“口腔生物材料学”、“全口义齿修复学”编委。具有丰富的教学和临床医学实践经历,为全国口腔界培养了大批优秀的口腔修复领域人才。中华口腔医学会口腔急诊专委会顾问、美学专委会常委,中国牙病防治基金会第七届理事会首席发展咨询专家,中国大众文化学会口腔文化专委会专家库专家等学术社会组织职务。
在口腔临床诊疗中,使用专业相机为患者口腔及牙列照相具有多重重要意义,既是现代精准医疗的重要工具,也是提升诊疗质量和医患沟通的关键环节。
01
随着学科的发展,口腔治疗已经从粗放式的诊疗方式转变为精细化的诊疗方式。
过去的口腔临床并不重视为患者照相这个问题。1996到1997在香港大学菲腊牙科学院学习期间,看到每位患者治疗前后都有安排专门拍摄患者牙列照片。拍摄的方式有两种,一种是由经治医生自己和助理一起为患者拍摄,还有一种就是填写一个申请单,在医院的影像科(Photographic Unit)有专职技师根据医生要求拍摄各种角度的口内照片,而且还会根据要求将照片做成彩色幻灯片。真的让人好生羡慕啊!内心很想学习一下如何拍摄口内照片!
不久就遇到了很好的学习机会:医院为我们四位在保存齿科学习的医生(除了我之外,一位来自中国香港,一位来自澳洲,另一位来自英国伦敦)安排了专门的口腔摄影课程,理论讲授后,让我们相互拍摄规范化的口内照片,并制作幻灯,最终我们一起观看幻灯,由老师对每一张幻灯进行点评,此次学习让我们受益匪浅!
1997年5月结束学习回到南京,面对着每天大量的患者,也很想在临床给患者拍照留存,但当时医院的条件比较落后,基本没有拍摄照片的概念,单反相机价格昂贵,环形闪光灯和定焦镜头国内市场都很难买到。医院没有给一个科室配备单反相机,更不要说什么各种拉钩和反光板等必要的器具了。
香港大学菲腊牙科学院的的一位教授,也是我的好朋友,得知我的情况,非常想帮助我,特地购买了一套全新佳能单反相机并配备三脚架,定焦镜头和环形闪光灯赠送给我,让我非常感动,至今难忘他对我的深厚情谊!
有了相机,拍照的确方便很多,但问题来了:患者太多,在那个时间,候诊大厅熙熙攘攘挤满了来看诊的患者,诊室里也是热闹非凡,无论年资高低,所有医生都在一个大诊室上班,没有助理,护士也严重不足,每天忙于看诊患者,经常连喝水都顾不上,只想着加快速度,尽快完成工作,否则无法按时下班,拍照?
大厅里焦急的患者在等待,更有性急的患者眼巴巴地挤在门口看着你,我心里暗想,若我花费很多时间拍照,估计有性子急的患者要“拍我了”不是用相机,而可能是用“砖头”!呵呵!着急啊!为此,临床上大量的宝贵资料没有机会留存,现在想来觉得非常遗憾!
02
临床曾经发生的一件事,至今让我印象深刻。
20多年前,一位年过花甲W女士,上前牙拥挤扭转,龋坏后用树脂修复,树脂变色,严重影响美观。几次咨询,最终决定做烤瓷牙冠修复并改善牙齿不齐的情况。于是开始治疗计划,首先是洁牙,然后做相关牙齿的根管治疗。
按照惯例,在治疗前,尤其是与美容修复相关的病例,照例要拍术前和术后的牙列照片。对于这位患者,我格外注意,因为从她的言谈话语中,感觉到这个患者对医生不是非常信任,而且有些吹毛求疵。
治疗过程中,我很认真地给她做了临时冠,,患者对临时冠还算比较满意,患者出差外地,约定三周后戴牙,患者如约戴上钴铬合金烤瓷冠,效果不错,患者也没有挑出什么毛病,但是这位患者很吝啬她的感谢,对着镜子左看看又看看,一句“谢谢”都没有,我和她约定,过一周可以来复诊看看有什么不适。
又过了三周。
患者突然来了,陪她来的还有她的儿子,一个身材中等、约40来岁的一名男子,两人怒容满面,见到我像是见了仇人一般。只是男子手中提着一个塑料袋,不知道里面装的什么。
我见来者不善,但又丈二和尚摸不着头脑,不管怎么说,还是问一下吧。
“您好!牙齿做了以后,感觉怎么样啊?”
“哼!还怎么样,今天儿子陪我来,我们要和你好好谈谈,你得给我们一个说法!!”
“好的,请坐,别急,有话坐下慢慢说。”我见状,心里告诫自己,要沉住气。
W女士坐到牙椅上,从塑料袋中拿出几本相册,说:“你看看,我家里是多么幸福,我的牙齿原来也挺好的,家里儿女孝顺,老公也很爱我,我自己每天过的很快乐!”我顺着她翻动的相册,看到了一家人在各种场景下的照片,的确,这是一个幸福的家庭。
“嗯,不错,您的家庭是很幸福,令人羡慕啊。”我接着她的话说。
“但是,你,毁了我的家庭幸福,和我的后半生!”W女士,眼睛盯着我,一字一顿地说。站在一旁的儿子,也愤愤地看着我,感觉到两眼在冒火。
“您为什么要这样说呢?我只是给您做了几个牙套啊。”
“哼!做了几个牙套,你知道做了以后的后果吗?
见我不做声,W女士接着说:“本来我好好的,结果做了牙齿以后,发现我生了扁平苔藓!你说,这是不是由你造成的?今天来,我们就是要讨个说法!不行,我们就去找你们院长!”
噢,原来是这样!
见我还是不说话,W女士更加生气,她大声说:“我已经到江苏省中医院看过,并且也到你们医院找专家看过,她们都说这是扁平苔藓!而且,我儿子他们在网上查了,这是一种癌前病变!以后发展下去就是癌症!你说,是不是你毁了我的幸福?现在我们一家人心情都很不好,后果非常严重!”
“你怎么就认定,您的扁平苔藓就是因为我给您做了牙套引起的呢?”我不解,问她。
W女士站起来,很生气,让她儿子接着和我谈。她的儿子一屁股坐在牙椅上。看上去,这人长相斯文,似乎是个文化人,也可能是什么单位的小领导,说话很有条理。我想,应该好沟通一些。
但是,他字字句句将我认成了害他母亲的罪魁祸首!他用手指着我,那模样像是一个警察在历经艰难抓到一个小偷,然后气愤之下对小偷进行责骂!不时用手指点着我,又像一个父亲在教训一个顽劣而不争气的儿子!
作为医生,我听了真是难以抑制愤懑的心情,但是,我告诫自己,冷静,再冷静!发火是用别人的错误在惩罚自己!
他说的意思无非是我给他们造成了无法弥补的伤害,要求赔偿由此而产生的精神损失包括承担以后可能出现的一切严重后果。
等他们都说完了,我问:“好,你们刚才讲了那么多,说完了吗?”
“我们现在想再听你说说!”
“谢谢!”
我对他的儿子说:“您母亲这次来找我看牙,其实,她几年前曾经因为其他牙齿的问题来过一次,这是第二次来找我,所以,说实在的,我心里有些感动。说明她对我第一次为她所做的治疗是非常满意的,不然不会还来找我。对于这样的患者,除了感动以外,更重要的是要加倍用心为患者提供好的医疗方案,不然对不起患者对我的这番信任,这是我当初的真实想法。这次她来看牙,因为涉及到缺损修复和美观修复两个方面的问题,所以我们非常慎重,与她进行了详细的讨论,最后才确定治疗方案,是在得到您母亲同意的情况下才做的治疗,而且当牙齿戴上以后,你母亲对治疗的效果是很满意的。”
见她母子二人没有说话,我接着说:“另外,不会因为我给你做了牙套,在短短三个星期内出现扁平苔藓,这是一种慢性病,没有这么快。你现在到底是不是这个病,不是仅仅靠看临床的口腔黏膜状况,更重要的是要通过病理检查才能确诊。的确,有人认为这是一种癌前病变,但是,也没有人说,扁平苔藓就一定会变成癌症啊,有扁平苔藓的人多了去了,但是发生癌症的人微乎其微,希望你们不要自己吓唬自己。”
“你这样说,我们不接受,这个扁平苔藓就是你做牙造成的,我以前没有,做了牙齿以后才出现这个情况的,不是你造成的又是谁,我以前根本没有这个病!”W女士急了。
“你们两位别着急,我给你们看一样东西。”见他们死活不相信,我对他们说。
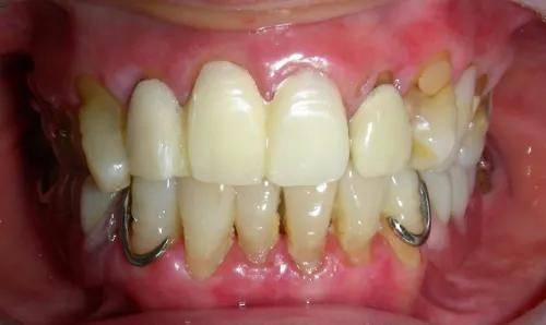
于是,我取出自己的笔记本电脑,打开后调出W女士治疗前后的照片,请他们仔细看清楚。在照片上清清楚楚显示着,治疗前后的照片对比,口腔黏膜确实有些发红,不均匀的红色斑块,但是都不是很明显。治疗前后对比显示,黏膜没有任何不同。


图1-2 患者治疗前和戴用临时冠的口内照片,手机拍摄,虽不理想,但足以说明问题。
看了照片,两人半晌没有说话。
我对他们说:“从照片上可以看出,您的治疗以前口腔黏膜和我治疗以后的黏膜情况没有任何改变,如果你们说是扁平苔藓的话,那么,也是在治疗前就存在这种情况。这绝对不是我给您做牙套造成的。”
“既然这样,那在治疗以前你为什么不告诉我?”W女士的说话口气缓和了许多。
我笑了: “坦率讲,扁平苔藓是一个多因素引起的慢性口腔黏膜病,它的发病因素其中有一条很重要的就是与精神因素有关,您当初来的时候,自己没有任何主观自觉症状,再说,我也不能确定是还不是,如果告诉你,不是增加您的思想压力,说不定还会加重您的病情吗?”
二人无语,欲离去,我又说:“再次谢谢你们的信任,以后牙齿有什么问题,如果你们愿意的话,还可以来找我。”
原以为这件事就彻底结束了,以后可能也不会见到这两位了。
03
不料,一个月后。
一天,一个患者给我打电话,这位患者因为几次找我看牙,比较熟悉,她在电话中对我说:她在我这里治疗牙齿感觉非常好,结果她单位有一个领导(部门小领导)知道了以后,询问了治疗的情况和给她治疗的医生,提出也想来看看牙齿的情况,让她给医生打个招呼,我回答说没有问题,在电话里约好了时间。
到了约定的那天,门外走进来一个患者,中年男子,一言不发,递过手中的纸质病历,坐在我的牙科治疗椅子上,我定睛一看,忍不住说了一句话:“我们,好像见过面。”
原来,他就是前不久来兴师问罪的W女士的儿子。
事后,我到了门诊办公室了解情况,原来,此前,患者已经到过门诊办公室投诉,办公室主任和工作人员了解她的情况后,否认她的扁平苔藓是由于做牙套造成,后来,她又到黏膜科专家门诊就诊,黏膜科专家也同样否认是做牙套造成,鉴于患者非常焦虑,门诊办公室主任和黏膜科主任还花了很多时间对她进行了心理疏导。
此事引起了我的思考,从这个案例中我们应该得到什么样的启发,若没有照片,这个问题如何面对?影像资料真的非常重要,我们在口腔临床上必须引起足够的重视!
进入数字化时代,照相更加清晰快捷方便,再也不需要使用胶卷,而且当时就可以看拍摄的效果,医院也逐步为各个科室配备了单反相机,而我使用的相机已经过时,为了适应形势,我在弟子的协助下,在南京选购了一款全新佳能40D单反相机,并通过香港的朋友,在香港购买了新型环形闪光灯和60cm定焦镜头,还与日本日进公司联系配备了最好的各类反光板,工作条件由此得到了很大的改善。
渐渐的,患者也基本能够接受在治疗前后拍照了。尤其是美学修复DSD等技术的发展,也让医生们更加认识到口腔摄影的重要性。
说到口腔摄影,必须要提到北大口腔医院刘峰教授做出的贡献。
我和刘峰教授相识多年。印象中,他是口腔界非常勤奋而且思维敏捷的一位学者。早在2006年,他就敏锐地觉察到口腔数码摄影的重要性,并且出版了一本名为《口腔数码摄影》的专著。这本书出版后,得到了国内广大年轻医生的热烈欢迎,也成为了很多口腔医生爱不释手的口腔摄影“宝典”。
随着口腔医学的发展,越来越多的口腔医生关注学习使用口腔摄影技术,留下了很多宝贵的临床影像资料。
从18年前很多有医生使用临床摄影技术,到如今已经有大多数医生学会使用相机拍摄临床影像。可以说,口腔摄影对于口腔美学的发展起到了非常重要的推动作用,刘峰在国内口腔摄影和口腔美学发展中的贡献有目共睹!18年来,该书不断修订再版,到2025年,刘峰团队的第四版《口腔数码摄影》付梓成书,而且成为十四五、国家重点出版物。
最近收到了刘峰寄来的这本最新专著,感慨万千。此书的副标题为:从口腔临床摄影到数字化微笑设计。打开厚重的新书,感受到的是刘峰团队的辛勤付出和口腔医学尤其是口腔美学发展的飞速进程。谢谢刘峰教授对口腔摄影和口腔美学做出的卓越贡献!



图3—5刘峰的专著第二版、第三版、第四版
04
口腔美学临床摄影是口腔美学临床工作中的重要技术,广泛应用在与口腔美学相关的多个专业临床工作中。
为更好地规范国内口腔执业医师操作、满足现代口腔美学诊断与设计需求,有利于国内、国际交流。
中华口腔医学会于2015年底成立了以口腔美学专业委员会成员为主、包含口腔医学各临床专业专家的中华口腔医学会口腔美学临床摄影规范专家组。立足于综合性口腔美学治疗的拍摄需求,在广泛征求意见、结合国内外口腔临床摄影相关推荐的基础上,经反复讨论、补充和修订,形成了口腔美学临床摄影专家共识(讨论稿)。经中华口腔医学会口腔美学专业委员会常委讨论并修订,最终形成本项推荐性技术共识,以期促进我国口腔美学临床摄影整体水平的提高。 口腔美学临床摄影专家共识发表在中华口腔医学杂志 2017 年5月第 52 卷第5期。此举有力推动了口腔美学摄影的进一步发展。



图6–8 口腔美学摄影专家共识截图
口腔摄影渐渐普及,日本松风公司及时推出了一款口腔临床专用相机。该相机体积小,重量轻,不需要外配环形或者双头闪光灯,也不需要更换定焦镜头,数字化产品,操作非常便捷,有几个预设程序,四个闪光灯,不受外界光线的影响,任何时候均可拍摄,不需要调光,拍摄效果极佳。刚一面世,就受到了广大口腔医生的欢迎。
松风(Shofu)是日本知名的牙科器材品牌,其牙科专用相机在口腔临床摄影中具有显著优势,尤其适合牙科诊疗的特殊需求。以下是松风牙科专用相机的主要优点:
1. 专业光学设计,成像精准
高分辨率镜头:专为口腔内拍摄优化,可清晰捕捉牙齿表面纹理、牙龈边缘、修复体细节等,确保诊断准确性。
真实色彩还原:采用特殊白平衡技术,减少反光干扰,精准呈现牙齿本色(如龋坏色差、修复体颜色匹配)。
大景深表现:即使在不平整的口腔环境中,也能保持前后牙齿同时清晰对焦。
2. 人性化操作设计
轻巧便携:机身小巧,搭配防滑握柄,便于单手操作,适合口腔内狭小空间拍摄。
一键式功能:简化拍摄流程(如自动对焦、曝光补偿),减少临床操作时间。
无线传输:部分型号支持Wi-Fi或蓝牙连接,可即时传输影像至电脑或平板,无缝对接电子病历系统。
3. 专为牙科环境优化
防雾防污镜头:口腔内湿度高,松风相机镜头常采用防雾镀膜,避免镜头模糊。
防水防尘:机身密封设计,可耐受消毒液清洁,符合院感要求。
低刺激光源:LED环形闪光灯光线柔和,避免强光直射引起患者不适。
4. 高效临床工作流整合
兼容DSD软件:与数字化微笑设计(DSD)系统联动,可直接用于美学修复方案设计。
病例管理便捷:影像可自动关联患者ID,支持分类存储(如术前/术后、正畸序列)。
标准化拍摄模式:预设牙列、咬合、软组织等拍摄参数,确保影像一致性。
松风公司根据口腔发展需求,及时更新换代,从第二代产品开始,十多年过去,已经发展到了第五代产品,更加数字化和智能化,与传统的单反相机相比,具有很多优势:
我刚开始自费购买的是2型松风相机,后来更新迭代,改为使用4型相机,感觉智能化程度更好,还增加了摄像功能,更加便捷好用。
记得一次在上海举办的新锐医生口腔病例展示活动中,有一个环节是该公司派员介绍牙科专用相机,我插话说,这种相机我使用过,非常好,结果引起了参会的几位专家教授的极大关注。目前该产品在口腔市场上很受欢迎,几乎供不应求。


图9-10 日本松风公司牙科相机:Eye Special C-IV
我的弟子深受我的影响,因为处于边远地区,几次申请购买相机,都很难以得到批准,最终决定自费购买松风牙科相机,她发来微信说:“老师好, 关于牙科相机想请教一下老师,之前见过您用松风的牙科相机,不知这款相机是否值得入手,这边的销售说终于有货了”,后来又发来微信:“一直对老师当初那台相机念念不忘,让这边的松风代理商帮我留意着,今天突然给了我消息”。非常赞同她自费购买自己喜欢的临床牙科相机!
从口腔相机这件事也可以看到,一个好的产品,一定要与时俱进。面对国内市场上尼康和佳能等品牌相机已经占领口腔摄影市场的局面,松风公司没有退却,没有打价格战,而是立意创新,另辟蹊径,走出去了一条与众不同的新路,使得公司的牙科专用相机成为众多口腔医生爱不释手的工具。
松风牙科相机凭借其专业的光学性能、临床友好设计和稳定的品质,成为许多口腔诊所的首选。尤其适合追求高效标准化工作流程、注重影像细节的牙科团队。投资专业设备可显著提升诊疗精准度与患者体验,长期来看性价比突出。
此事也说明,创新求变才是一个企业的生存发展之道!
由此,想起一件事:在一次展会上,一位企业老总很高兴地展示该公司的各种光固化灯,我说:“您的光固化等有好几种,每种的特色是什么?与其他企业的同类产品相比,有什么优势?若光是以不同的价格来定位不同光固化等种类,可能不是明智之举,希望企业能够多做0+1的产品,而不是以低价取胜!”

微信扫一扫打赏