文 | 《口腔观察》芒种
导 读
口腔行业2026第一声“春雷”炸响。
备受关注的中国第一口腔大展“2026华南国际口腔展”于3月3日在广东雷霆登场。作为管窥中国和世界口腔产业发展风向的“春天盛会”,各大品牌竞相角逐,头部口腔企业的举动往往成为行业发展的重要参照。

《口腔观察》注意到,国产口腔民族品牌、中国口腔影像头部企业美亚光电此番携重磅新品——3D显微智能体震撼亮相,同步为全球口腔从业者带来数智化系统解决方案,展台内外吸引了全球牙医的目光。据悉,该新品作为行业首个口腔医疗智能体矩阵家族的重要组成部分, 精准拓展“手术操作”核心环节,推动矩阵形成“数据采集—临床诊断—经营管理—手术操作”全流程闭环,深刻演绎中国口腔技术创新高度的硬核魅力。




直击:新“神器”突破临床手术核心痛点
在展会现场,这款被誉为新“神器”的3D显微智能体何以广受全球牙医青睐呢?
一位来自湖北的公立三甲口腔科主任赞誉到,在口腔医疗迈向精细化发展的当下,这款美亚光电研发的3D显微智能体,可谓突破了临床手术核心痛点。

据了解,行业众所周知的是,传统口腔CBCT等设备,操作繁琐,难以适配根管、种植等精细手术需求,直接影响手术精准度与诊疗效率;设备间数据互通不畅,无法与影像、口扫等设备有效协同,导致诊疗流程缺乏标准化支撑;设备运维被动,核心部件故障难以及时察觉,间接影响口腔机构正常运营,这些痛点长期困扰临床医生开展精细化诊疗、制约机构高质量发展。
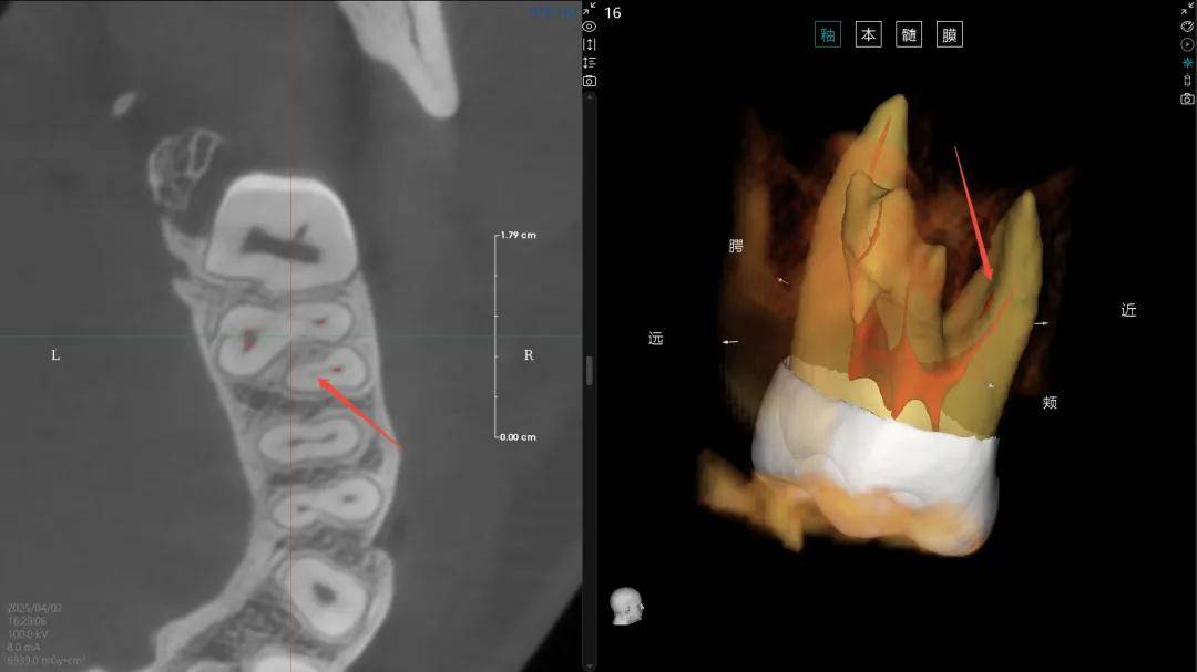
令行业欣慰的是,针对上述痛点,现场牙医观摩和体验了这款美亚光电研发的3D显微智能体整合智能成像、智能操控、智能诊断、智能运维四大核心能力。

【▲美亚3D显微智能体融合“髓易诊”能力实现AI+显微根管治疗】
该智能体配备全视场3D摄像系统与4K超高清成像功能,手术过程中支持一键自动对焦、电磁锁智能悬停等便捷操控方式,有效降低医生操作难度,显著提升手术精准度与效率;同时,其深度融合AI“髓易诊”诊断模块、美亚美牙云平台及DentOS软件系统,实现手术、影像、病例数据无缝互通,助力口腔诊疗实现从“群体智能驱动”到“全流程高效协同”的升级。
瞩目:“美亚影擎”再度同步进化升级
“作为支撑美亚智能体家族矩阵发挥全链路协同价值的核心,正是美亚影擎!”美亚光电相关负责人向《口腔观察》透露。

【▲多模态数据融合与三维重建】
(2)智能种植功能持续迭代,新增缺失牙自动测量、植体智能推荐、植体自动测量功能,构建“自动测量-智能推荐-精准测算”全流程数字化种植辅助体系,提升种植安全性与便捷度。




(3)智能正畸功能实现突破,依托自身CT数据即可独立完成正畸模型分析与模拟排牙,无需额外设备补充数据,新增全牙列视野分析与模拟排牙动画,搭配优化后的分析报告,大幅提升诊疗精准度与效率。

【▲模型分析展示】
(4)“髓易诊”功能精准度与使用体验再提升,根管弯曲度支持手动/智能测量;髓腔提取算法迭代,识别准确率大幅飙升;新增牙体360°环绕观察,全方位掌控解剖细节,让根管诊疗更精准、更高效。

【▲算法优化前后MB2病例展示(优化前)】

【▲算法优化前后MB2病例展示(优化后)】
搭配:两大关键智能体完善一体化布局
如果说此番亮相的3D显微智能体的补充与美亚影擎的升级,进一步强化了美亚口腔医疗智能体矩阵的全场景覆盖能力,则作为搭配另外两大关键产品,让“硬件+软件+生态”的一体化布局更加完善。这包括口内扫描智能体——MyScan5和经营管理智能体。

口内扫描智能体——MyScan5,以10μm超高精度、1分钟全口数据采集的核心优势,自适应口腔环境、减少扫描干扰,兼顾数据精准度与患者舒适度,为诊疗方案制定提供精准口内数据支撑。
而经营管理智能体——美亚美牙云平台,可无缝对接各类智能设备,实现患者全流程管理、诊所人财物精细化管控、经营数据多维分析,助力口腔机构降本增效、实现规模化发展。
守护:一家民族口腔领军企业的产业情怀
此次华南口腔展上,美亚口腔医疗智能体矩阵演绎的创新突破与飞速迭代引发的全球牙医热切关注,搅动中国口腔产业发展的风向和新局。像美亚光电这样崛起的中国民族口腔企业正成为全球口腔展会平台的“主角”。
从行业首家国产CBCT到行业首款口腔医疗智能体矩阵,美亚光电以每一小步成就行业一大步为中国民族口腔产业领跑注入澎湃动力。
《口腔观察》了解到,这背后离不开美亚光电“追求品质、服务客户”的核心价值观引领,更离不开企业在医疗健康板块的持续深耕与创新研发投入。
美亚光电相关负责人向《口腔观察》表示:“公司始终聚焦行业痛点,依托强大研发实力突破多项核心技术壁垒!”

(美亚光电与华西口腔共建智慧诊疗工程研究中心)
据了解,截至现在,公司累计获得授权专利近800项,其中发明专利授权率高达80%,并成功主持或参编12项国家、行业及地方标准,实现技术优势向行业规则的有效转化;同时,打造专业化的研发与服务团队,相关产品已应用于全球2万多家口腔机构,并与华西口腔医学院等多所高等学府开展产学研合作,实现技术与临床深度融合,持续推动行业高质量发展。
对于未来,这位负责人满怀深情地表示,将继续秉持开放协作理念,与全球合作伙伴及临床专家紧密携手,持续深化“智能识别”技术创新应用,共同推动口腔健康服务向数字化、智能化与普惠化发展,更精准地守护生命健康,践行“让人人都享有幸福生活”的企业使命。

微信扫一扫打赏